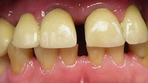
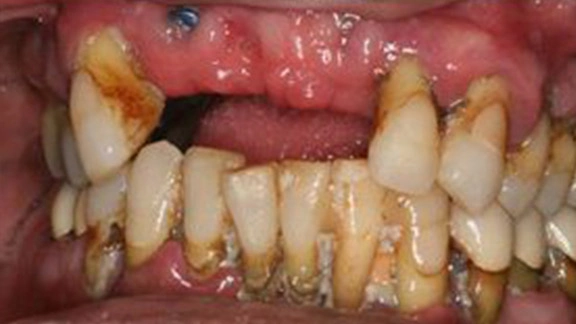
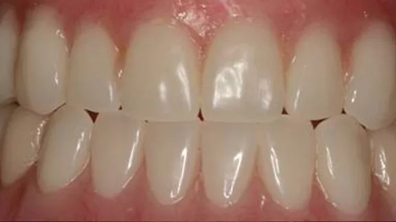
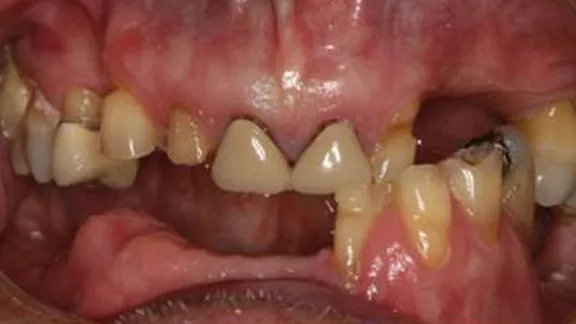
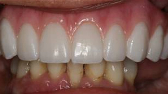
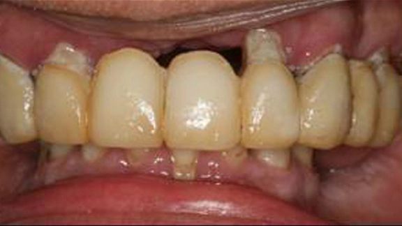
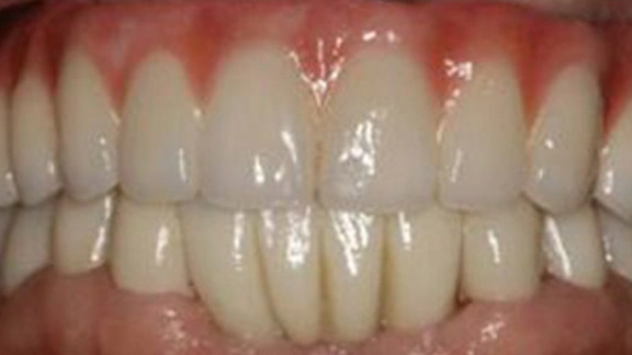
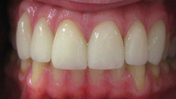
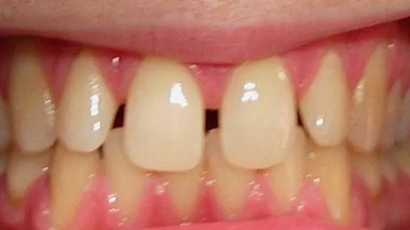
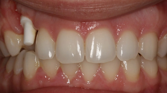
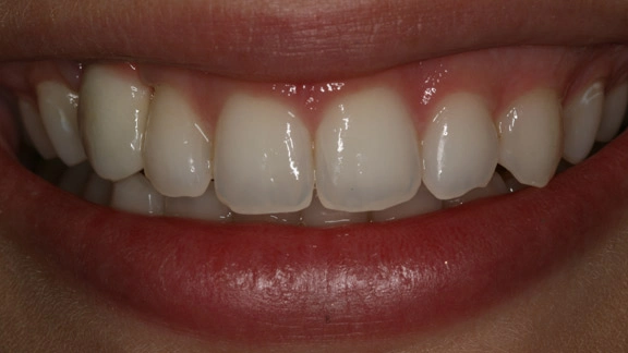
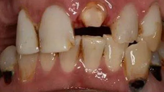
See The Difference For Yourself
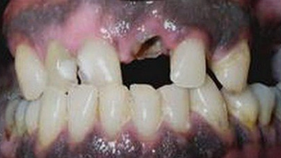
Before and Afters - Miami Beach, FL
We offer a wide range of cosmetic and restorative dental services to improve your smile, comfort, and confidence, all in one trusted location.
- 5000+ Happy Customers
- Over 15 Years of Experience
- Unmatched Care and Guidance
Schedule your free consultation and learn what works best for you

Dental Implants
















All-On-4®


All-On-6®




Smile Restoration






Veneers




Crowns




Dentures




Full Mouth Makeover




Teeth Whitening




Schedule Your Free Consultation Today!
Schedule your free consultation and learn what works best for you